双胎妊娠系列之什么是绒毛膜性?
怀上双胞胎是多么令人激动和幸福的事情。看看下图,多么可爱,绝对是晒圈、炫耀的绝佳资本。推着双排座的婴儿车、沐浴着温暖的阳光、看着别人艳羡的目光,心里乐开了花。

然,人之不如意,十之八九。双胞胎将面临很多单胎不会面临的风险,比如双胎输血综合征、选择性胎儿生长受限等等。

是不是所有的双胎都会面临这些风险呢?非也。双绒毛膜双胎的风险要远低于单绒毛双胎。比如双胎输血综合征(TTTS)、选择性胎儿生长受限(sFGR)、红细胞增多-贫血序列(TAPS)、双胎反向动脉灌注序列(TRAP)等都是单绒毛膜双胎特有的并发症。
蒙圈了吧?撒是单绒毛膜,什么是双绒毛膜?我只知道单卵双卵。

所谓单卵双卵,是说的合子性,也就是说,这个双胎是一个受精卵还是两个受精卵发育而来的呢?而绒毛膜性我们可以简单的理解为胎盘的属性,单绒毛膜双胎即是两个小孩共享一个胎盘,而双绒毛膜双胎则是各自有自己的胎盘。
两者关系
所有的双卵双胎(DZ),一定是双绒毛膜双胎(DC),不能反推,也就是说双绒毛膜双胎不一定都是双卵双胎。所有的单绒毛膜双胎(MC),一定是单卵双胎(MZ),也不能反推,也就是说单卵双胎不一定都是单绒毛膜双胎。
ALL DZ=DC
ALL MC=MZ
重点来了,重要的事情说三遍。决定双胎预后的是绒毛膜性,不是合子性。决定双胎预后的是绒毛膜性,不是合子性。决定双胎预后的是绒毛膜性,不是合子性。
我们来看看不同绒毛膜性的双胎。
双绒双羊:很好理解,各是各的胎盘,各自独立的羊膜囊,因为子宫宫腔空间有限,有时候胎盘会融合到一起,看起来像一个胎盘。下图一个是融合的,一个是独立的。就如联排别墅,各有各的地基和房间系统。

单绒双羊:两个小孩公用一个胎盘,但是各自有独立的羊膜囊。就比如两居室房。

单绒单羊:连个小孩不仅公用一个胎盘,而且在同一个羊膜囊里。就比如单居室房间。

联体双胎:这就更悲催了。很容易理解。

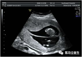
既然绒毛膜性那么重要,那怎么确定绒毛膜性呢?超声!!!而且是非常有经验的超声医生。绒毛膜性在早孕比较准确。为了方便记忆,就是在测量NT的时候就可以确定绒毛膜性了(11-13+6周),超过16周以后超声诊断绒毛膜性的准确率会下降。千万不要错过哟。
超声表现:双胎峰。超声医生如果在报告中如果能附上绒毛膜性的图,不胜感激哟。
λ征:(双绒双羊)

T征:(单绒双羊)

常见问题
问题一:我移植的是两个胚胎,或者早孕看到的是两个孕囊,一定是双绒毛膜双胎吗?
答曰:非也。可能出现其中一个胚胎停育,另外的胚胎发育为单绒毛膜双胎。
问题二:中孕/晚孕看到一个胎盘,一定是单绒毛膜双胎吗?
答曰:非也。绒毛膜性以早孕超声为准。
问题三:两个宝宝性别不一样,一定是双绒毛膜双胎?
答曰:回答正确,加10分。
(文章来源:微信公众号 陈功立医生 )